What is minimally invasive spine pain management and how does it work?
Minimally invasive pain therapy can basically be performed on all sections of the spine. The personal consultation with an exact description of the symptoms, the physical-neurological examination and the radiological findings are essential components in the individual understanding of the cause of the pain. Only in this way can a well-founded decision be made for what is likely to be the optimal, individually adapted therapy.
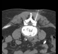
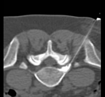
Under computer tomographic or magnetic resonance imaging control, drugs are injected with millimeter precision into the neuralgic points of the spine using fine injection needles. In many patients, this can result in significant pain relief or even freedom from pain. All pain therapy treatments can be carried out on an outpatient basis without any problems due to the low complication rates. A treatment takes a maximum of 10 to 30 minutes.
...
Side effects
Like all interventional forms of treatment, side effects or complications are also conceivable with incision-image-assisted pain therapy procedures. Due to the image-guided type of treatment, which in contrast to conventional X-rays also shows soft tissue such as nerves or blood vessels, complications due to misplacement of the needle with injury to neighboring structures or injections at undesirable locations are very rare.
Financial coverage
Billing for this special form of pain treatment is covered by health insurance.
Is such therapy an option for me?
This question should be discussed in advance in cooperation between the patient, the referring physician and the radiologist. After clarification of the indication, an appointment can then be made. Pre-registration for the section-guided interventions is mandatory for organizational reasons and due to the detailed patient information and examination. If you have already had X-rays, CT scans or MRI scans of your spine taken outside the clinic, please bring them with you on the day of treatment. It is also important for us to have all documents relating to previous treatments of your spinal complaints. For further information, please contact our microtherapy office: 0391-67-13199.
Periradicular therapy
What is periradicular therapy?
Periradicular therapy (PRT) is used as a pain therapy procedure for a herniated disc, but also for other back disorders. Here, painkilling and anti-inflammatory drugs are injected with millimeter precision into the painful nerve root under computer or magnetic resonance imaging control. Corticosteroids and long-acting local anesthetics are used. The corticosteroids reduce the swelling of the irritated nerve root, while the local anesthetics reduce the local radiation of pain.
Due to the decongestion of the nerve root, there is again relatively more space in the exit area of the nerve at the spinal column, so that there is a retrograde irritation of the nerve by the intervertebral disc material. In addition, corticosteroids have an antiphlogistic (anti-inflammatory) effect, so that the nerve root is less sensitive to mechanical or chemical stimuli (disc tissue). A long-term effect is achieved here through the use of depot medication.
When can periradicular therapy be usefully applied?
in acute intervertebral disc protrusions and herniations with root irritation syndrome, i.e. pain radiating from the neck or back into the arm or leg
pain due to degenerative changes in the spine (stenosis of the lateral recess)
pain caused by scars following herniated discs (postnucleotomy syndrome)
for surgically treated herniated discs (failed back syndrome)
as a diagnostic blockade before possible surgery
What kind of results can be expected?
The success rate of this treatment measure is very high. In 60-80% of patients, pain symptoms subside completely or significantly, and in 10-20% of patients, mild to moderate relief can be achieved.
When should periradicular therapy not be used?
In patients with herniated discs with new-onset bladder/bowel dysfunction and/or paralysis symptoms.
in patients with severe blood coagulation disorders
Facet joint block
What exactly is a facet block?
Facet block is a minimally invasive therapeutic procedure for diffuse, motion-dependent non-radicular (not caused by the nerve root) back pain. These complaints are due to wear and tear of the small vertebral joints, caused by wear and tear, poor posture or bending of the spine. These degenerative changes in the small vertebral joints cause approximately 90% of all back pain conditions.
Wann kann die Facettenblockade sinnvoll angewendet werden?
Die Facettenblockade stellt ein minimal-invasives Therapieverfahren bei diffusen, bewegungsabhängigen nicht-radikulären (nicht durch die Nervenwurzel verursachten) Rückenschmerzen dar. Diese Beschwerden sind auf Verschleißerscheinungen an den kleinen Wirbelgelenken, verursacht durch Abnutzung, Fehlhaltung oder Verbiegung der Wirbelsäule. Diese degenerativen Veränderungen an den kleinen Wirbelgelenken bedingen ca. 90% aller Schmerzzustände des Rückens.
What kind of results can be expected?
The success rate of this treatment measure is very high, with over 85% of patients in the acute phase, and approx. 60% after 2 years. Usually, this therapy should be performed on several segmentally adjacent joints.
Other image-guided pain therapies
Sympathicolysis is used to treat pain caused, for example, by chronic inflammation, circulatory disorders, tumors, or postoperative scar tissue, and where the usual therapy with pain medication is insufficient. In this case, parts of the sympathetic nerve cord are temporarily or permanently switched off.
These interventions are CT-assisted, in which a thin special needle is positioned directly on the corresponding nerve plexus (neck, thorax, abdomen, or pelvis) under local anesthesia, and a mixture of local anesthetic and highly concentrated alcohol solution is injected locally. The alcohol solution leads to chemical obliteration of the nerve plexus and thus to pain reduction. The local anesthetic leads to immediate pain reduction when indicated and performed correctly and thus has diagnostic value. For this reason, the procedure is often performed in two stages.
The treatment usually takes about 30 min and can be repeated if necessary or applied on both sides.